Orthodontists in Tampa, FL — Westchase & South Tampa

The Confident
Smile You've
Always Wanted

Dr. Mark Goodnight and Dr. Spencer Mathews deliver gentle, personalized orthodontic care for children, teens, and adults — treating every patient like family.

Free Consultations
2 Tampa Locations
All Ages Welcome
Dr. Goodnight's family

Families Love Us

Gentle · Expert · Caring

Free

Consultation

Why Families Choose Us

The Goodnight Difference

Free Consultations, Always

We remove every barrier to getting started. Your first visit is on us — no fees, no pressure, just expert guidance and a clear path to your best smile.

Two Experienced Orthodontists

With Dr. Goodnight and Dr. Mathews leading your care, you benefit from a depth of expertise and a shared commitment to excellence that's rare in a single practice.

Smiles for Every Age

From early childhood evaluations to adult treatment, your entire family receives world-class orthodontic care in one trusted place.

Cutting-Edge Technology

iTero® digital scanning, digital X-rays, and the latest treatment systems mean more accurate results, greater comfort, and plans built for you — not a template.

Two Convenient Tampa Locations

Westchase and South Tampa — both offices backed by the same exceptional team and the same standard of gentle, expert care.

A Practice That Feels Like Family

Patients consistently describe our office as a place where they feel at ease, heard, and genuinely cared for. That's not an accident — it's who we are.

What Sets Us Apart

Every reason to
choose Goodnight

We've built something special in Tampa — a practice where expert orthodontic care meets genuine warmth. Here's what makes us different.

Complimentary Consultations

Your journey starts with zero commitment. Explore your options at either Tampa location with no cost and no pressure.

Care for the Whole Family

From early childhood to adult orthodontics — stunning smiles at every stage of life, all under one trusted roof.

Latest Orthodontic Techniques

Both doctors stay at the forefront of orthodontic innovation, bringing you the most effective, comfortable treatments available today.

Advanced Digital Technology

iTero® scanning and digital X-rays deliver greater precision, faster treatment planning, and a more comfortable experience — start to finish.

Treatment Options

Your Path to a
Perfect Smile

We offer a comprehensive range of orthodontic treatments — each one customized to your unique smile, timeline, and lifestyle.

Invisalign® Treatment

Most Popular

Straighten your teeth discreetly with custom clear aligners — a virtually invisible solution that fits seamlessly into your lifestyle.

Empower® Self-Ligating Braces

Our advanced self-ligating braces reduce friction and discomfort, moving teeth more efficiently for a faster, more comfortable treatment experience.

Two-Phase & Early Orthodontic Treatment

Early intervention guides jaw development and simplifies future treatment — giving your child the best possible foundation for a lifetime of healthy smiles.

Forsus™ & Herbst Appliances

Specialized growth-modification appliances that correct bite issues in growing patients, reducing the need for more complex treatment later.

iTero® Digital Scanning

No more goopy impressions. Our iTero® scanner creates precise 3D digital models for accurate treatment planning and a far more comfortable appointment.

Digital X-Rays

Fast, low-radiation digital X-rays give our doctors a complete picture of your dental and jaw structure, enabling safer and more precise treatment decisions.

Adult Orthodontics

It's never too late for the smile you deserve. We offer a full range of discreet and effective options designed around the needs and schedules of adult patients.

Children's & Teen Orthodontics

We make orthodontic treatment fun and exciting for younger patients — from choosing brace colors to celebrating milestones every step of the way.

Goodnight Orthodontics team
Dr. Mathews

Tampa's

Trusted Team

Our Story

Care That Feels
Like Family

At Goodnight Orthodontics, we believe a beautiful smile is about more than straight teeth — it's about the confidence that transforms a person's life. Dr. Mark Goodnight founded this practice on a simple but powerful idea: that every patient deserves to be cared for as if they were family. That philosophy lives in every appointment, every adjustment, and every moment our team spends with you.

Dr. Spencer Mathews brings that same commitment to excellence, combining a passion for the Tampa Bay community with a dedication to implementing the latest orthodontic techniques. Together, they lead a team united by genuine enthusiasm for the work they do — and for the people they serve.

With two conveniently located offices in Westchase and South Tampa, we're here for children, teens, and adults throughout the Tampa Bay area. From your very first complimentary consultation to the moment we reveal your finished smile, you'll experience the Goodnight difference: expert care, warm hearts, and results that will last a lifetime.

MG

Dr. Mark Goodnight

Orthodontist

SM

Dr. Spencer Mathews

Orthodontist

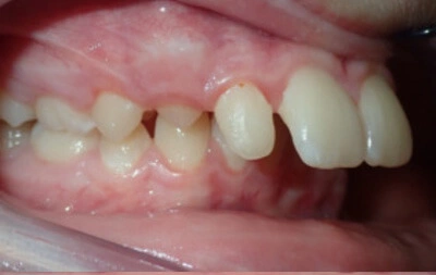
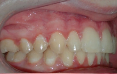
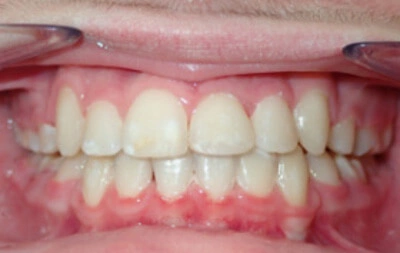
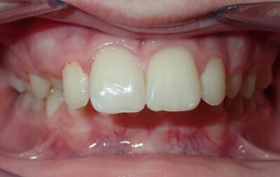
Amazing Transformations

Real Smiles,
Real Results

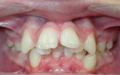
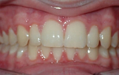
Before orthodontic treatment Before
After orthodontic treatment After
Before orthodontic treatment Before
After orthodontic treatment After
Before orthodontic treatment Before
After orthodontic treatment After
Patient Stories

Straight from
Our Patients

★★★★★

"Everyone at Goodnight Orthodontics is so nice. I feel comfortable around them and I like how they try to make me feel comfortable and enjoy being there. I feel very confident that they do their best to help make my teeth look better."

C

Caitlin H.

Patient

★★★★★

"Dr. Goodnight and his staff are always courteous and communicative when it comes to my son's ortho needs. I cannot recommend him highly enough for your orthodontic needs."

M

Matthew T.

Patient Parent

★★★★★

"I was nervous and excited about getting my braces! It was actually fun! I loved picking colors, makes it more exciting! Everyone there is always smiling and happy, makes me want to smile."

I

Isabella C.

Patient

★★★★★

"Dr. Goodnight and his staff are fantastic! They make the patient and family feel comfortable by taking the time to answer any questions and getting to know your child. They really go the extra mile."

K

Kiely R.

Patient Parent

★★★★★

"The staff goes out of their way for you and your children! This place is awesome!"

B

Brady N.

Patient

Getting Started

Your Journey to
a Perfect Smile

1

Free Consultation

It all begins with a no-cost, no-pressure consultation. We'll evaluate your smile, answer every question, and walk you through the treatment options best suited to your goals.

2

Personalized Treatment Plan

Using advanced digital imaging and our doctors' expertise, we design a precise, customized plan built around your unique smile and timeline.

3

Comfortable, Expert Treatment

Whether you choose braces or Invisalign®, our team guides you through every step with gentle, skilled care — keeping you informed and comfortable throughout.

4

Your Stunning Result

The day your treatment is complete, you'll walk out with the confident, beautiful smile you've always wanted — and a relationship with a team that genuinely cheered you on the whole way.

Common Questions

Questions? We've
Got Answers

The best way to find out is with a professional evaluation. We offer complimentary consultations at both of our Tampa locations — no referral needed, no cost, no obligation. Early assessment can make a significant difference in the ease and success of treatment.

The American Association of Orthodontists recommends a first evaluation by age 7. At this stage, Dr. Goodnight or Dr. Mathews can identify developing issues and, if needed, recommend early treatment that guides healthy jaw and tooth development.

Invisalign® uses a series of clear, removable aligners that are virtually invisible — ideal for patients who want a discreet option. Traditional braces, including our Empower® self-ligating system, offer exceptional precision and are often the best choice for more complex cases. We'll help you find the right fit during your consultation.

Absolutely. We treat patients of all ages at Goodnight Orthodontics. Adult orthodontics is more popular than ever, and we offer a full range of options — including discreet Invisalign® — designed to work around busy adult lives.

Empower® self-ligating braces use a specialized clip instead of elastic ties to hold the wire, which reduces friction and often results in a more comfortable experience and potentially shorter treatment time compared to conventional braces.

Two-phase treatment is an approach that addresses developing jaw and bite issues early (Phase 1), then completes full smile alignment later when all permanent teeth have erupted (Phase 2). It can simplify future treatment and lead to better long-term results for younger patients.

Simply call either of our Tampa offices or request an appointment online. Your first consultation is completely complimentary — our team will walk you through everything and make sure you feel confident and informed every step of the way.

Start Today — It's Free

Your Confident Smile
Is One Call Away

Join the hundreds of Tampa families who've trusted Goodnight Orthodontics with their smiles. Your first consultation is completely free — no obligation, no pressure, just expert care and a clear path forward.

South Tampa

3223 South Dale Mabry Hwy
Tampa, FL 33629

Get Directions →