Luxe Dentistry reception area
Naples' Premier Concierge Dental Studio

Hollywood Smiles.
Naples Address.

Dr. Scott Hood brings Beverly Hills-trained cosmetic artistry and 25+ years of precision dentistry to a concierge practice where your smile is the only priority.

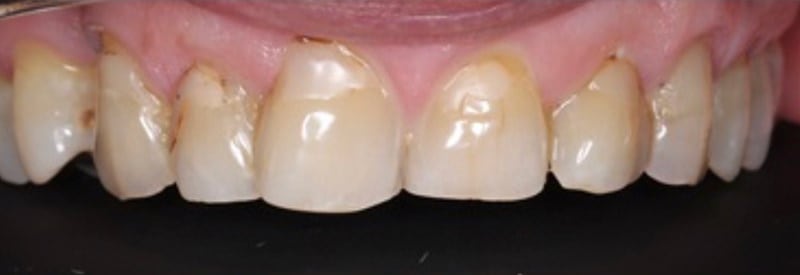
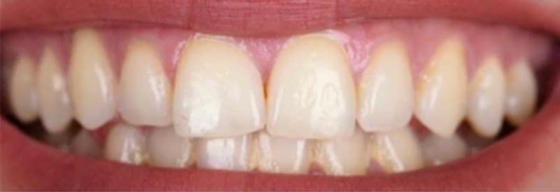
A
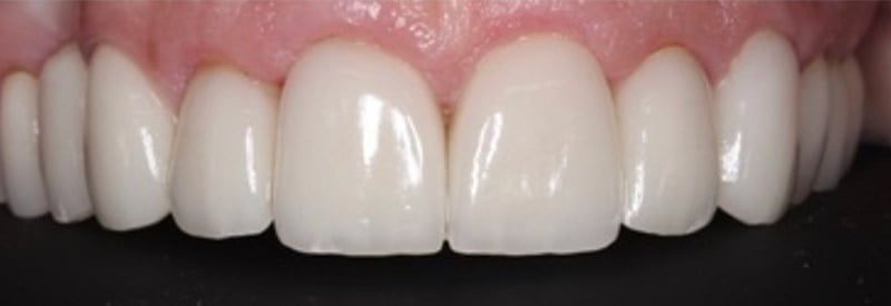
B
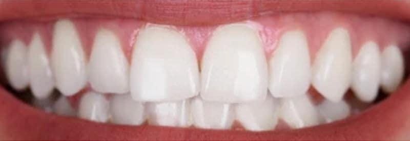
C

Voted #1 Best Dentist Office — Naples, FL

The Luxe Difference

Why Naples Trusts
Luxe Dentistry

Voted #1 Best Dentist Office

Dr. Hood's practice has been awarded First Place Best Dentist Office in his county — a reflection of consistent excellence in care and outcomes.

Beverly Hills Cosmetic Training

Advanced training at the Los Angeles Institute of Esthetic Dentistry gives Dr. Hood the skills to create Hollywood-caliber smiles in Naples.

Top 10 Graduate, University of Michigan

Dr. Hood graduated with endodontics honors in the top 10 of his class from one of the nation's premier dental schools.

State-of-the-Art 3D Technology

From diagnosis to treatment, Luxe Dentistry uses advanced 3D imaging and Cerec technology for precision results you can see and feel.

Concierge-Standard Care

Every patient receives individualized attention, a customized treatment plan, and a team that communicates clearly from start to finish.

The Dentist Behind High-Profile Smiles

Dr. Hood's artistry and discretion have earned the trust of numerous high-profile clients seeking results that are both stunning and natural.

Our Approach

A Cut Above Ordinary Dentistry

Every aspect of our practice is designed around one goal: giving you the most exceptional smile experience imaginable.

Beverly Hills-Trained Cosmetic Expertise

Dr. Hood's advanced training at the Los Angeles Institute of Esthetic Dentistry means you get Hollywood-caliber smile design right here in Naples — without the flight.

Minimally Invasive Philosophy

Modern veneers and restorations that preserve your natural tooth structure. Gone are the days of drilling teeth down to nubs.

3D Imaging & Cerec Technology

State-of-the-art 3D imaging enables precise diagnostics and treatment planning, from implants and bone grafts to full mouth rehabilitation.

In-House Endodontics

Dr. Hood's advanced endodontic training means most root canals are handled in-house — fewer referrals, more continuity of care, less disruption for you.

Concierge-Level Experience

From your first consultation to your final reveal, every detail — communication, comfort, and outcomes — is held to a Luxe standard.

Full-Family Care Under One Roof

From children's preventive care to complete smile makeovers, Luxe Dentistry offers comprehensive dentistry for every member of your family.

What We Offer

Quality Dental Services

Comprehensive cosmetic and family dentistry — all under one roof, all held to the Luxe standard.

Luxe Dentistry waiting room
Most Popular

Porcelain Veneers

Razor-thin, custom-crafted facings seamlessly bonded to your teeth — delivering a flawless, natural-looking smile with minimal tooth reduction.

Teeth Whitening

Professional in-office and take-home systems using only the most effective, proven methods for dramatic, lasting results.

Dental Implants

Expert placement restoring your smile with the look, feel, and function of natural teeth — backed by in-depth consultations.

Clear Aligners

Straighten your smile discreetly and comfortably — no metal brackets, no compromises. The modern way to a perfect smile.

Laser Contouring

Precisely reshape your gum line for perfect smile symmetry — often combined with whitening or veneer treatments for stunning results.

Luxe Dentistry patient treatment room

Full Mouth Rehabilitation

A comprehensive, customized approach to restoring function, health, and beauty across your entire smile — led by one of Naples' most experienced restorative dentists.

Smile Design Consultations

Your transformation begins with a personalized consultation where Dr. Hood maps your ideal smile and builds a clear treatment roadmap.

Tooth Extractions

Safe, efficient removal of damaged or problematic teeth, handled in-house with a clear plan for restoration and follow-up care.

Luxe Dentistry interior

#1 Best Dentist

Naples, FL County

Meet Dr. Scott Hood

25 Years of Artistry.
A Lifetime of Smiles.

Luxe Dentistry is Naples' destination for those who refuse to settle for an ordinary smile. Founded by Dr. Scott Hood, DDS — a University of Michigan Dental School graduate who finished in the top 10 of his class with endodontics honors — the practice was built on a single conviction: that every patient deserves exceptional care, exceptional results, and an exceptional experience. Dr. Hood has spent over 25 years perfecting his craft, earning advanced training at the Dawson Academy, Dentsply Sirona Academy, Cerec Mastery, and the Los Angeles Institute of Esthetic Dentistry in Beverly Hills.

Dr. Hood's philosophy is rooted in doing what's genuinely best for each patient — through minimally invasive techniques, honest communication, and meticulous attention to detail. His practice has been voted First Place Best Dentist Office in his county, and he is the trusted dentist behind numerous high-profile smiles — now bringing that same expertise to his concierge studio in the Granada Shoppes.

25+

Years of Experience

Top 10

UMich Dental Class

Book With Dr. Hood
Your Journey

From Consultation to
Dream Smile

1

Smile Consultation

Meet Dr. Hood for a personalized consultation where we listen to your goals, evaluate your oral health, and explore what's possible for your smile.

2

Customized Treatment Plan

We build a clear, detailed treatment roadmap tailored to your individual needs — with transparent communication at every step so you always know what to expect.

3

Precision Treatment

Using the latest technology and premium materials, Dr. Hood and his team deliver your treatment with skill, artistry, and an unwavering commitment to quality.

4

Your Smile Reveal

Experience the moment your new smile comes to life — crafted to complement your face, match your vision, and exceed your expectations.

5

Ongoing Care & Maintenance

We build lasting relationships with our patients, supporting your smile's health and brilliance well into the future — because keeping you smiling is the whole point.

Common Questions

Frequently Asked
Questions

Luxe Dentistry is a concierge practice, meaning your care is highly personalized and held to a premium standard. Dr. Hood brings Beverly Hills cosmetic training, 25+ years of expertise, and advanced technology — including 3D imaging and Cerec systems — to a practice that truly treats you as an individual, not just an appointment.

Both. Luxe Dentistry provides comprehensive family dentistry alongside advanced cosmetic services — from children's care and preventive dentistry to full smile makeovers and full mouth rehabilitation, all under one roof.

We offer porcelain veneers, professional teeth whitening, clear aligners, laser gum contouring, smile design consultations, and complete smile makeovers. Dr. Hood specializes in creating natural-looking, long-lasting results tailored to your unique facial features.

Thanks to Dr. Hood's advanced endodontic training and experience, most root canals and endodontic procedures are handled right here at Luxe Dentistry — meaning less inconvenience and more continuity in your care.

The Luxe Promise is our four-part commitment to every patient: excellent communication throughout your treatment, superior results using premium materials and technology, the best possible dental experience, and access to the most advanced techniques in modern dentistry.

We're conveniently located in the Granada Shoppes at the intersection of Immokalee Road and Tamiami Trail North — on the side of Trader Joe's. Our address is 10600 Tamiami Trail North, Suite 598, Naples, FL 34108.

Our office is open Monday through Friday, 8:00 AM to 5:00 PM. You can reach us by phone at 239.766.7575, by text at 239.326.6366, or by email at smile@luxedentistryfl.com.

The first step is a smile consultation with Dr. Hood. He'll take the time to understand your goals, assess your current smile, and walk you through all available options — with no pressure and complete transparency. Book your appointment online or give us a call at 239.766.7575.

Start Your Journey

You Deserve a
Luxe Smile.

Take the first step toward the smile you've always wanted. Book your personalized consultation with Dr. Scott Hood today.

Location

10600 Tamiami Trail North
Suite 598, Naples, FL 34108

Get Directions →

Office Hours

Monday – Friday
8:00 AM – 5:00 PM